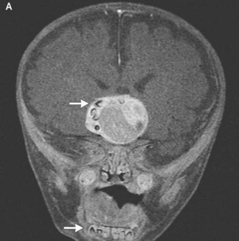
I chirurghi dello stato americano del Maryland hanno dovuto spenderne uno delle operazioni più difficili nella loro pratica. Genitori di quattro mesi i ragazzi suonarono l’allarme e dopo andarono dai dottori notato che la testa del loro bambino sta crescendo troppo velocemente. medici ha condotto una scansione e ha scoperto che un dente era cresciuto nel cervello del paziente.
foto da fonti aperte Come spiegavano i chirurghi ai genitori spaventati e gli oncologi, questo era dovuto alla formazione di un raro congenito tumori – craniofaringiomi, scrive il New England Journal of Medicine. Questa neoplasia nella stragrande maggioranza dei casi benigno, tuttavia, può crescere fino alle dimensioni di una palla per golf e provoca una diminuzione del senso dell’olfatto, dell’udito e della vista alterati e aumenta anche la pressione intracranica. Ricercatori sempre sospettavo che questi tumori che compaiono in un bambino già nel gravidanza, formata dalle stesse cellule dei denti, dal momento che hanno rilevato grandi accumuli di calcio, ma un vero dente formato prima di questo caso non riescono a trovare rappresentato.
I chirurghi hanno rimosso con successo la foto da fonti aperte Il tumore, il ragazzo, dicevano, sta bene. Comunque un dente che è cresciuto nella sua ghiandola pituitaria, ma ha distrutto il cervello, in particolare, corretta produzione di ormoni: il paziente dovrà assumerli prima fine vita. Questo caso può legittimamente essere al primo posto un elenco delle operazioni più strane eseguite dagli oncologi. Nel frattempo, in giovane iraniano, che doveva trattare gli occhi pelosi. Uno strano tumore nei suoi occhi apparve quasi subito dopo la nascita, tuttavia all’età di 19 anni è aumentato significativamente in dimensioni (fino a 0,6 cm) e impedito la chiusura delle palpebre, inoltre, da esso i capelli rigidi hanno iniziato a crescere. I medici hanno rimosso il tumore e l’hanno scoperto questo è un dermoide limbale – estremamente raro, di solito educazione benigna. Secondo i medici, in quel caso, se il giovane continuava a tirare con le medicine, il suo gonfiore potrebbe non solo far crescere i capelli, ma anche iniziare a sudare: nel tempo sulle neoplasie compaiono spesso le ghiandole corrispondenti.
tempo
