foto da fonti aperte
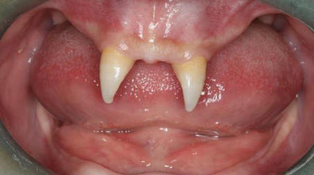
A volte i denti possono apparire dove non dovrebbero essere. a volte ci sono molti di questi denti. Di seguito sono elencati alcuni casi. disposizione dei denti completamente innaturale, e alcuni di questi i casi sono davvero spaventosi.
1. 232 denti sono stati rimossi da un adolescente
foto da fonti aperte
I medici di un ospedale indiano trovano 232 denti in bocca Ragazzo di 17 anni. Sono stati rimossi durante un’operazione che è durata più di 6 ore. Nel reparto odontoiatrico dell’ospedale ha deciso riferire questo caso al Guinness dei primati come circa un gran numero di denti estratti dalla bocca di una persona. ragazzo, Ashik Hawaii, vive in uno dei villaggi situati nella zona Amravati.
foto da fonti aperte
Circa un anno fa, la sua famiglia ha notato un tumore nella mascella inferiore. ragazzo, tuttavia, i medici locali non sono stati in grado di determinare cosa un problema. La famiglia del ragazzo aveva persino paura di avere un cancro. E poi Ad Ashik fu diagnosticato un “odontoma”, cioè benigno un tumore fatto di denti. Potrebbe causare difficoltà con il cibo, con deglutizione e portare a un brutto edema, sebbene non pericoloso persona.
I medici hanno estratto 232 denti da un tumore nella mascella di Ashik. Chiamandolo “miracolo medico”, i medici hanno detto che ora il ragazzo set normale di 28 denti.
2. I medici hanno estratto un dente dal naso di una persona
foto da fonti aperte
Il sanguinamento dal naso è molto comune tra i bambini e tra gli adulti, tuttavia, frequenti epistassi di uno il giovane aveva una ragione molto insolita: nel suo naso cresceva un dente. Soffriva un uomo di 22 anni dell’Arabia Saudita sangue dal naso due volte al mese per tre anni.
Alla fine, decise di consultare un medico, che lo scoprì nel naso è bianco avorio, massa ossea, circa una lunghezza 1 cm Il dottore si consultò con i dentisti e vennero da loro Concludo che la massa ossea è in realtà un dente che per qualche motivo è cresciuto nel naso. Successivamente, il dente è stato rimosso.
3. Un adolescente ha fatto crescere i suoi denti da vampiro
foto da fonti aperte
Il ragazzo cinese crebbe due denti anteriori molto affilati, dentro facendolo sembrare un vampiro. Nel dicembre 2012 la madre di nome Wang Hui portò suo figlio Wang Penfei nel locale ospedale per esame. Chongqing Municipal Boy After la nascita sta crescendo molto male e nella sua bocca sono comparsi due acuti zanna.
Wang Hui ha cercato di scoprire il motivo dell’apparizione del figlio di questi formazioni anormali e visitato innumerevoli medici, ma non ha portato molto successo. Medici di Southwestern Hospital dice che suo figlio può essere fatto chirurgia solo quando diventa adulto.
foto da fonti aperte
Il costo di questa operazione può variare da 70.000 a 80.000 RMB, sono circa $ 15.000. Secondo Wang Hui, suo figlio sta diventando sempre più ritirato, e spesso combatte con i compagni di classe, che bisbigliano di lui o lo guardano con aria interrogativa.
4. Un raro tumore nel cervello del bambino si è rivelato essere un dente
foto da fonti aperte
Il bambino di 4 mesi del Maryland potrebbe essere il primo una persona che aveva un tumore nel cervello che si è rivelato essere un dente. Per la prima volta i dottori sospettavano che qualcosa non andasse quando la testa del bambino sembrava cominciò a crescere più velocemente di quanto sia caratteristico dei bambini della sua età.
Una scansione del cervello ha rivelato un tumore che conteneva strutture che ricordano molto i denti umani, di solito trovate nella mascella inferiore. Il tumore è stato rimosso e ora il ragazzo si sente te stesso bene.
5. La persona cieca ripristina la vista dopo l’impianto dente negli occhi
foto da fonti aperte
L’inglese Martin Jones è cieco da un decennio. il tuttavia, nel 2009, ha ricevuto la sua vista. È successo dopo molto procedura medica insolita: i medici lo hanno impiantato nell’occhio frammento di dente. Era una zanna che i dottori si toglievano dalla bocca. Jones.
Alla base del canino, i medici hanno introdotto un oftalmico artificiale obiettivo, e metti tutto questo disegno negli occhi, permettendo così far crescere l’obiettivo alla dimensione desiderata. Altro dalla bocca di Martin è stato prelevato un piccolo pezzo di pelle da cui è stato successivamente realizzato patta speciale con il proprio sistema circolatorio.
Inoltre, i medici hanno dovuto ridurre l’apertura nella cornea dell’occhio, in modo che lascia entrare meno luce. Questa procedura ha contribuito a ripristinare la vista a sei pazienti.
6. Un dente è stato rimosso dall’orecchio di un uomo che lo ha tormentato per 3 decenni
foto da fonti aperte
Un uomo di Sheffield che per decenni ha sofferto di infezioni e mal d’orecchi, dice che ora tutta la sua sofferenza è dietro, mentre i dottori alla fine rimuovevano il dente dal suo uditivo esterno passare. Stephen Hirst, 47 anni, inizialmente si è lamentato di penetrazione dolore all’orecchio destro e da adolescente innumerevoli medici che hanno provato in tutti questi anni scopri l’incomprensibile causa di una malattia misteriosa.
Stephen dice che il dolore a volte era così intenso che lo fece urlare. Ciò è continuato fino a quando i medici del Il Royal Hospital Hallamshire non ha trovato un dente che cresceva nel suo orecchio. Quindi lo hanno eliminato. I dottori si chiedono ancora come il dente potrebbe essere nel condotto uditivo di un 47enne uomini.
7. Il bambino è nato con 28 denti
foto da fonti aperte
Nel 2010, la madre di molti bambini Marta Matoni ha scioccato i residenti Contea di Nyanaruhua in Kenya, dando alla luce un ragazzo sano con 28 denti. Secondo Peter Mumero, un ufficiale clinico locale, Mart ha dato alla luce suo figlio James Mwangi proprio a casa.
Ma dopo che è stata scoperta una deviazione sorprendente, madre e il bambino è stato portato in una struttura medica locale. in questo momento Mwangi ha già quattro anni, sta crescendo senza complicazioni, e dentro A 8 mesi ha già mangiato giteri (un piatto tradizionale keniota cucina).
8. I chirurghi hanno scoperto 2 denti all’interno di un tumore oculare
foto da fonti aperte
Nagabhushenham Shiva, una donna indiana di 23 anni, una volta molto Sono stato sorpreso, come i suoi dottori, quando si è scoperto che quei due i denti completamente formati si trovano proprio all’interno del tumore, che questa donna aveva negli occhi fin dalla nascita. Tumore gradualmente aumentato di dimensioni nel corso degli anni. Quando la visione di una donna cominciò a deteriorarsi, si rivolse ai dottori.
Da quando il trattamento del tumore è iniziato in ritardo, è già riuscita a toccarsi nervo ottico. Ciò ha portato la donna a diventare cieca per sempre. in un occhio. Tuttavia, i chirurghi hanno rimosso il tumore e durante questo la procedura ha mostrato i denti.
