Tre antiche mummie, scoperte in una tomba scavata nella roccia in Egitto più di 400 anni fa, stanno finalmente rivelando i loro segreti, ora che gli scienziati hanno eseguito scansioni TC dei loro resti.
I resti sono le uniche “mummie con ritratto modellato” conosciute di Saqqara, un'antica necropoli egizia.
A differenza di altre mummie sepolte nei sarcofagi, queste persone sono state collocate su assi di legno, avvolte in stoffa e “ un bellissimo sudario di mummia '', decorato con gesso, oro e pittura, afferma la ricercatrice Stephanie Sesch, antropologa ed egittologa per il German Mummy Project al Museo Reuss. Engelhorn a Mannheim, Germania.
Le scansioni TC (tomografia computerizzata) mostrano che una delle tre mummie rivestite di gesso è stata sepolta con organi (anche cervello) e due donne sono state sepolte con bellissime collane, hanno scoperto i ricercatori.

Una scansione TC mostra le perle di una collana sul collo e sul corpo di una donna. (Zesh et al., PLOS One, 2020).
La tomografia computerizzata ha mostrato che le persone mummificate – un uomo, una donna e un'adolescente vivevano nel periodo tardo romano (30 a.C. – 395 d.C.).
Le mummie furono sepolte con manufatti ritenuti utili nell'aldilà, comprese le monete, probabilmente destinate a pagare Caronte, una divinità romana e greca che trasportava le anime attraverso il fiume Stige.
La TAC ha anche rivelato diversi problemi di salute, inclusa l'artrite della donna.
“Un sondaggio sulle mummie ha mostrato che le persone sono morte in giovane età … ma la causa della morte non è stata stabilita”, ha detto Xesh a WordsSideKick.com.
La tomografia computerizzata ha mostrato che l'uomo è morto tra i 25 ei 30 anni. La sua altezza era di circa 163 centimetri, aveva due molari ininterrotti e diverse crepe nelle ossa.
Sebbene il cervello dell'uomo non sia sopravvissuto, non ci sono prove che sia stato rimosso. Inoltre, molte delle sostanze per l'imbalsamazione non sono state utilizzate. Invece, è stato avvolto e dipinto.
Secondo Xesh, i due oggetti metallici trovati durante le indagini sono molto probabilmente i sigilli del laboratorio di mummificazione che ha elaborato i suoi resti.

Ritratto di una mummia adolescente. (Zesh et al., PLOS One, 2020).
Anche il cervello della donna non è stato preservato, ma il cervello dell'adolescente è stato preservato – si era ridotto, ma il cervello e il tronco cerebrale potevano ancora essere identificati – ed erano presenti anche altri organi interni dell'adolescente.
“Siamo abbastanza sicuri che a queste mummie non siano stati rimossi il cervello o gli organi interni”, ha detto Xesh.

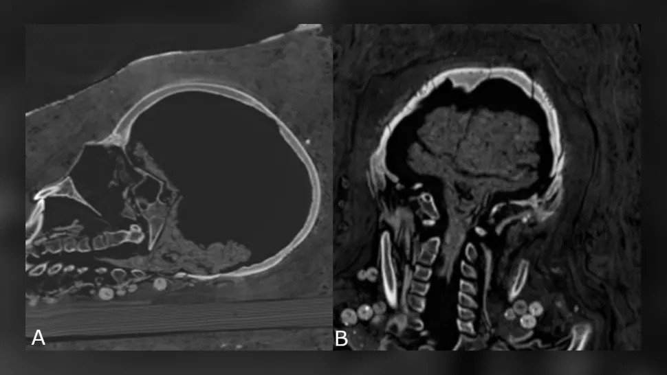
Restringimento del cervello adolescente. (Zesh et al., PLOS One, 2020)
“È molto probabile che le mummie siano sopravvissute solo a causa di un qualche tipo di disidratazione con la [miscela disidratante] natron.”
La donna, morta tra i 30 ei 40 anni, era alta circa 151 cm e aveva un'artrite avanzata al ginocchio sinistro. L'adolescente, secondo la tomografia computerizzata, è morto tra i 17 ei 19 anni ed era alto circa 156 cm.
Aveva un tumore benigno alla colonna vertebrale noto come emangioma vertebrale, che è più comune nelle persone sopra i 40 anni, hanno detto i ricercatori.
Entrambe le donne sono sepolte con molte collane.
“A causa di questi preziosi sudari, siamo fiduciosi che le persone dovrebbero appartenere a una classe socio-economica elevata”, ha detto Xesh.
Questa ricerca è servita come base per una mostra interattiva di mummie maschili e femminili a Dresda. Una mummia adolescente in mostra presso il Museo delle Antichità Egizie al Cairo, Egitto.
La ricerca è pubblicata sulla rivista PLOS One.
Articolo pubblicato da Live Science.
Fonti: Foto: (Zesch et al., PLOS One, 2020)
