foto da fonti aperte
Una ragazza della provincia cinese di Shandong viveva per avere 24 anni, non sapendo che le è mancata una parte significativa del cervello sin dalla nascita, e è il cervelletto.
Tale scoperta è stata fatta solo quando ha visitato i medici lamentano nausea e vertigini. Lei ha detto medici che hanno problemi di vita a piedi. Sua madre riferì che sua figlia poteva andare solo alle sette anni e il discorso è iniziato all’età di sei anni.
Tomografia cerebrale normale, cervelletto in rosso
foto da fonti aperte
Dopo la tomografia, i medici hanno immediatamente identificato la fonte del problema: la sua il cervelletto era assente. Lo spazio in cui dovrebbe essere vuoto. questo fornisce l’area cerebrale piena di liquido cerebrospinale protezione contro la malattia. Il cervelletto impiega circa il 10 percento di volume totale del cervello, ma contiene il 50 percento dei neuroni.
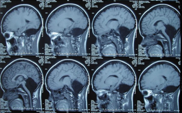
Imaging del cervello di una donna cinese senza cervelletto
foto da fonti aperte
Una donna si unisce a un club “d’élite” di nove persone, che viveva senza questa autorità. Descrizioni comunque dettagliate di questo non c’è malattia, poiché tutte le persone sono morte in giovane et� e il problema è stato rilevato solo all’autopsia.
I problemi cerebellari possono portare a gravi disturbi mentali arretratezza, disturbi del movimento, epilessia o potenzialmente accumulo mortale di liquido nel cervello. Tuttavia, a per questa donna, la mancanza di cervelletto ha portato solo a una lieve carenza movimento e moderati problemi di linguaggio, come leggermente sfocato pronuncia.
I medici descrivono questi effetti come “meno di quanto potrebbe essere aspettatevi “e dicono che il suo caso sottolinea l’incredibile plasticità del cervello.
vita
